Colombia Médica is a peer-reviewed, open-access scientific journal covering various medical and health sciences topics. The advantages of publishing in Colombia Médica are:

  • Free publication of all types of articles and free publication of color images.
  • Constructive peer review
  • Easy and fast online submission of manuscripts.
  • Open access journal available in PubMed CentralRedalyc, and SCieLO).
  • Indexed by PubMed, EMBASE, Scopus, and Web of Science

 

Vol. 56 No. 2 (2025)

Vol. 56 No. 2 (2025)

Published: 2025-10-17

A Decade of Editorial Leadership: Advancing Colombia Médica as a Regional Scientific Platform

Luis Eduardo Bravo, Rodrigo Guerrero , Yezid Solarte, Lorena Matta, Lena Barrera, Enrique Herrera , Carlos Andrés Fandiño (Author)
  • Páges : e1007003 |
  • 130 | 12 | 3 | 7 | 4
DOI: https://doi.org/10.25100/cm.v56i2.7003
  • Páges : e2006613 |
  • 127 | 21 | 11 | 6 | 8
DOI: https://doi.org/10.25100/cm.v56i2.6613

Serum Interleukin-36γ Levels in Children with Allergic Rhinitis

A Cross-Sectional Study

Dogukan Aydenizoz, Omer Tarik Selcuk, Hulya Eyigor, Hamit Yasar Ellidag, Serkan Filiz, Sennur Keles (Author)
  • Páges : e2016690 |
  • 71 | 27 | 9 | 8 | 6
DOI: https://doi.org/10.25100/cm.v56i2.6690
DOI: https://doi.org/10.25100/cm.v56i2.6756

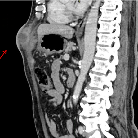
Abdominal actinomycosis by Actinomyces shaaliae georgiae mimicking neoplasia

Case report

Mateo Londoño Barrientos, Carlos Alberto Lopez Zapata, Laura Álvarez Herrera, Marco Frusteri, Carlos Andres Delgado Lopez (Author)
  • Páges : e5006672 |
  • 92 | 15 | 8 | 2 | 2
DOI: https://doi.org/10.25100/cm.v56i2.6672
View All Issues